Journal of Traditional Chinese Medicine ›› 2024, Vol. 44 ›› Issue (1): 88-94.DOI: 10.19852/j.cnki.jtcm.20231121.002
• Original articles • Previous Articles Next Articles
LIU Huihui1, FENG Jun2(
), LIU Jianhe3, CHENG Choufu3, HU Guoheng4
Received:2022-11-02
Accepted:2023-02-02
Online:2024-02-15
Published:2023-11-21
Contact:
FENG Jun, Department of Geriatrics, the First Hospital of Hunan University of Chinese Medicine, Changsha 410007, China. Naohvc@139.com. Telephone: +86-15211146864
Supported by:LIU Huihui, FENG Jun, LIU Jianhe, CHENG Choufu, HU Guoheng. Efficacy of Jiangzhi Xiaoban tablet (降脂消斑片) on toll-like receptor 4/nuclear factor-kappa B/nod-like receptor protein 3 signaling pathway in mice with atherosclerosis induced by high-fat diet[J]. Journal of Traditional Chinese Medicine, 2024, 44(1): 88-94.
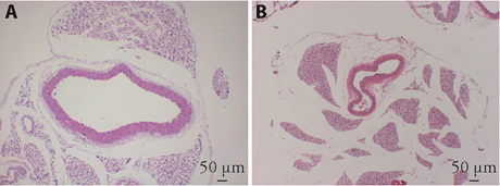
Figure 1 Modeling of AS mice in each group (HE staining, ×100), scale bar 50 μm A: selected from the CON group fed with ordinary diet for 7 weeks; B: selected from the MOD group fed with high-fat diet for 7 weeks. CON: normal control; MOD: model; AS: atherosclerosis; HE: hematoxylin-eosin.
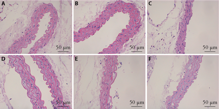
Figure 2 Effect of JZXB on the histopathology of aorta in AS mice (HE staining, × 400), scale bar 50 μm A, B: selected from the CON (A) and MOD group (B) received 0.5% sodium carboxymethyl cellulose aqueous solution at1.5 mL·kg-1·d-1 by gavage for 6 weeks; C: selected from the ATO group received atorvastatin at 4.1 mg·kg-1·d-1 by gavage for 6 weeks; D: selected from the JZXB-L group received JZXB at 492 mg·kg-1·d-1 by gavage for 6 weeks; E: selected from the JZXB-M group received JZXB at 984 mg·kg-1·d-1 by gavage for 6 weeks; F: selected from the JZXB-H group received JZXB at 1968 mg·kg-1·d-1 by gavage for 6 weeks. CON: normal control; MOD: model; ATO: atorvastatin; JZXB-L: low-dose of JZXB; JZXB-M: middle-dose of JZXB; JZXB-H: high-dose of JZXB; JZXB: Jiangzhi Xiaoban tablet; AS: atherosclerosis; HE: hematoxylin-eosin.
| Group | n | TC | TG | HDL-C | LDL-C |
|---|---|---|---|---|---|
| CON | 7 | 2.24±0.15 | 0.99±0.17 | 2.09±0.24 | 0.45±0.1 |
| MOD | 7 | 3.49±0.31a | 1.70±0.27a | 1.41±0.18a | 1.81±0.61a |
| ATO | 7 | 2.29±0.24b | 0.98±0.16b | 2.19±0.28b | 0.76±0.13b |
| JZXB-L | 7 | 3.89±0.35 | 0.94±0.23b | 1.45±0.21 | 1.15±0.24b |
| JZXB-M | 7 | 4.03±0.43 | 0.98±0.18b | 2.31±0.19b | 0.82±0.16b |
| JZXB-H | 7 | 2.72±0.37b | 0.94±0.23b | 2.42±0.31b | 0.84±0.22b |
Table 1 Effect of Jiangzhi Xiaoban tablet on serum TC, TG, HDL-C and LDL-C levels in AS mice (mmol/L, $\bar{x}±s$)
| Group | n | TC | TG | HDL-C | LDL-C |
|---|---|---|---|---|---|
| CON | 7 | 2.24±0.15 | 0.99±0.17 | 2.09±0.24 | 0.45±0.1 |
| MOD | 7 | 3.49±0.31a | 1.70±0.27a | 1.41±0.18a | 1.81±0.61a |
| ATO | 7 | 2.29±0.24b | 0.98±0.16b | 2.19±0.28b | 0.76±0.13b |
| JZXB-L | 7 | 3.89±0.35 | 0.94±0.23b | 1.45±0.21 | 1.15±0.24b |
| JZXB-M | 7 | 4.03±0.43 | 0.98±0.18b | 2.31±0.19b | 0.82±0.16b |
| JZXB-H | 7 | 2.72±0.37b | 0.94±0.23b | 2.42±0.31b | 0.84±0.22b |
| Group | n | IL-1β (pg/mL) |
|---|---|---|
| CON | 7 | 22.1±0.9 |
| MOD | 7 | 34.4±2.9a |
| ATO | 7 | 25.7±2.1b |
| JZXB-L | 7 | 32.8±3.4 |
| JZXB-M | 7 | 26.1±2.2b |
| JZXB-H | 7 | 26.2±2.2b |
Table 2 Effect of JZXB on the level of IL-1β in AS mice ($\bar{x}±s$)
| Group | n | IL-1β (pg/mL) |
|---|---|---|
| CON | 7 | 22.1±0.9 |
| MOD | 7 | 34.4±2.9a |
| ATO | 7 | 25.7±2.1b |
| JZXB-L | 7 | 32.8±3.4 |
| JZXB-M | 7 | 26.1±2.2b |
| JZXB-H | 7 | 26.2±2.2b |
| Group | n | TLR4 | NF-κB | NLRP3 |
|---|---|---|---|---|
| CON | 5 | 0.193±0.005 | 0.197±0.005 | 0.195±0.005 |
| MOD | 5 | 0.229±0.006a | 0.265±0.003a | 0.243±0.004a |
| ATO | 5 | 0.208±0.007b | 0.225±0.006b | 0.217±0.006b |
| JZXB-L | 5 | 0.228±0.005 | 0.260±0.004 | 0.238±0.007 |
| JZXB-M | 5 | 0.210±0.007b | 0.222±0.006b | 0.216±0.004b |
| JZXB-H | 5 | 0.213±0.006b | 0.227±0.005b | 0.221±0.006b |
Table 3 Average optical density values of TLR4, NF-κB and NLRP3 protein expression in immunohistochemistry of mice in each group ($\bar{x}±s$)
| Group | n | TLR4 | NF-κB | NLRP3 |
|---|---|---|---|---|
| CON | 5 | 0.193±0.005 | 0.197±0.005 | 0.195±0.005 |
| MOD | 5 | 0.229±0.006a | 0.265±0.003a | 0.243±0.004a |
| ATO | 5 | 0.208±0.007b | 0.225±0.006b | 0.217±0.006b |
| JZXB-L | 5 | 0.228±0.005 | 0.260±0.004 | 0.238±0.007 |
| JZXB-M | 5 | 0.210±0.007b | 0.222±0.006b | 0.216±0.004b |
| JZXB-H | 5 | 0.213±0.006b | 0.227±0.005b | 0.221±0.006b |
Figure 3 Effect of JZXB on TLR4, NF-κB and NLRP3 protein expression levels in aortic tissue of AS mice (n = 5, × 400) A1-A6: protein expression level of TLR4 by immunohistochemistry; B1-B6: protein expression level of NF-κB by immunohistochemistry; C1-C6: protein expression level of NLRP3 by immunohistochemistry; A1, A2, B1, B2, C1, C2: selected from the CON (A1, B1, C1) and MOD group (A2, B2, C2) received 0.5% sodium carboxymethyl cellulose aqueous solution at 1.5 mL·kg-1·d-1 by gavage for 6 weeks; A3, B3, C3: selected from the ATO group received atorvastatin at 4.1 mg·kg-1·d-1 by gavage for 6 weeks; A4, B4, C4: selected from the JZXB-L group received JZXB at 492 mg·kg-1·d-1 by gavage for 6 weeks; A5, B5, C5: selected from the JZXB-M group received JZXB at 984 mg·kg-1·d-1 by gavage for 6 weeks; A6, B6, C6: selected from the JZXB-H group received JZXB at 1968 mg·kg-1·d-1 by gavage for 6 weeks. CON: normal control; MOD: model; ATO: atorvastatin; JZXB-L: low-dose of JZXB; JZXB-M: middle-dose of JZXB; JZXB-H: high-dose of JZXB; JZXB: Jiangzhi Xiaoban tablet; AS: atherosclerosis; TLR4: toll-like receptor 4; NF-κB: nuclear factor-kappa B; NLRP3: nod-like receptor protein 3.
| 1. |
Yang X, Li J, Hu D, et al. Predicting the 10-year risks of atherosclerotic cardiovascular disease in Chinese population: the China-PAR project (prediction for ASCVD risk in China). Circulation 2016; 134: 1430-40.
PMID |
| 2. |
Libby P. Mechanisms of acute coronary syndromes and their implications for therapy. N Engl J Med 2013; 368: 2004-13.
DOI URL |
| 3. |
Wolf D, Ley K. Immunity and inflammation in atherosclerosis. Circ Res 2019; 124: 315-27.
DOI PMID |
| 4. | Welsh P, Grassia G, Botha S, et al. Targeting inflammation to reduce cardiovascular disease risk: a realistic clinical prospect? Br J Pharmacol 2017; 174: 3898-913. |
| 5. |
Chistiakov DA, Bobryshev YV, Nikiforov NG, et al. Macrophage phenotypic plasticity in atherosclerosis: the associated features and the peculiarities of the expression of inflammatory genes. Int J Cardiol 2015; 184: 436-445.
DOI PMID |
| 6. |
Chen KJ. Blood stasis syndrome and its treatment with activating blood circulation to remove blood stasis therapy. Chin J Integr Med 2012; 18: 891-6.
DOI URL |
| 7. | Zheng LY, Fang XM. A brief introduction to the treatment of acute coronary syndrome by promoting blood circulation and removing blood stasis. Shi Yong Zhong Yi Nei Kei Za Zhi 2016; 30: 116-8. |
| 8. | Wang YA, Yang L, Yu XJ, et al. Observation on the effect of Jiangzhi Xiaoban tablet on improving cardiac function in patients with coronary heart disease. Zhong Xi Yi Jie He Xin Nao Xue Guan Bing Za Zhi 2015; 13: 1822-4. |
| 9. | Wu J, Cheng CF. The effect of Jiangzhi Xiaoban tablet assisted with conventional Western Medicine treatment on coronary plaques and inflammatory factors in coronary heart disease and angina pectoris. Zhong Guo Zhong Yi Yao Xin Xi Za Zhi 2018; 25: 25-9. |
| 10. | Li PC, Cheng CF, Lu LL, et al. The effect of Jiangzhi Xiaoban tablet on VEGF-mediated inflammation in AS plaques. Zhong Yi Yao Xin Xi 2014; 31: 102-6. |
| 11. |
Zhao Y, Qu H, Wang Y, et al. Small rodent models of atherosclerosis. Biomed Pharmacother 2020; 129: 110426.
DOI PMID |
| 12. |
Peled M, Nishi H, Weinstock A, et al. A wild-type mouse-based model for the regression of inflammation in atherosclerosis. PLoS One 2017; 12: e0173975.
DOI URL |
| 13. | The Writing Committee of the Report on Cardiovascular Health and Diseases in China. Summary of China cardiovascular health and disease report 2020. Zhong Guo Xun Huan Za Zhi 2021; 36: 521-45. |
| 14. | The Writing Committee of the Report on Cardiovascular Health Diseases in China. Summary of China cardiovascular health and disease report 2019. Zhong Guo Xun Huan Za Zhi 2020; 35: 833-54. |
| 15. | Hu SS, Gao RL, Liu LS, et al. Summary of "Chinese cardiovascular disease report 2018". Zhong Guo Xun Huan Za Zhi 2019; 34: 209-20. |
| 16. | Benjamin EJ, Blaha MJ, Chiuve SE, et al. Heart disease and stroke statistics-2017 update: a report from the American heart association. Circulation 2017; 135: e146-603. |
| 17. |
Libby P, Tabas I, Fredman G, Fisher EA. Inflammation and its resolution as determinants of acute coronary syndromes. Circ Res 2014; 114: 1867-79.
DOI PMID |
| 18. | Li HM, Wang X. Research progress on the correlation between TLR4/MyD88/NF-κB signaling pathway and atherosclerotic cardiovascular disease. Zhong Guo Xun Zheng Xin Xue Guan Yi Xue Za Zhi 2017; 9: 1132-4. |
| 19. |
Strowig T, Henao-Mejia J, Elinav E, Flavell R. Inflammasomes in health and disease. Nature 2012; 481: 278-86.
DOI |
| 20. | Martínez GJ, Celermajer DS, Patel S. The NLRP3 inflammasome and the emerging role of colchicine to inhibit atherosclerosis-associated inflammation. Atherosclerosis 2018; 269: 262-71. |
| 21. | Zhang H, Gong X, Ni S, et al. C1q/TNF-related protein-9 attenuates atherosclerosis through AMPK-NLRP 3 inflammasome singling pathway. Int Immunopharmacol 2019; 77: 105934. |
| 22. | Luo J, Wang X, Jiang X, et al. Rutaecarpine derivative R3 attenuates atherosclerosis via inhibiting NLRP3 inflammasome-related inflammation and modulating cholesterol transport. FASEB J 2020; 34: 1398-411. |
| 23. |
Bauernfeind FG, Horvath G, Stutz A, et al. Cutting edge: NF-kappaB activating pattern recognition and cytokine receptors license NLRP3 inflammasome activation by regulating NLRP3 expression. J Immunol 2009; 183: 787-91.
DOI PMID |
| 24. |
Xue Y, Enosi Tuipulotu D, Tan WH, et al. Emerging activators and regulators of inflammasomes and pyroptosis. Trends Immunol 2019; 40: 1035-52.
DOI |
| 25. |
Stitham J, Rodriguez-Velez A, Zhang X, et al. Inflammasomes: a preclinical assessment of targeting in atherosclerosis. Expert Opin Ther Targets 2020; 24: 825-44.
DOI URL |
| 26. | Jiang SG, Cheng CF. Clinical observation of Jiangzhi Xiaoban tablet in the treatment of 30 cases of phlegm and blood stasis syndrome of hyperlipidemia. Zhong Yi Yao Dao Bao 2011; 17: 20-2. |
| Viewed | ||||||
|
Full text |
|
|||||
|
Abstract |
|
|||||
Sponsored by China Association of Chinese Medicine
& China Academy of Chinese Medical Sciences
16 Nanxiaojie, Dongzhimen Nei, Beijing, China. 100700 Email: jtcmen@126.com
Copyright 2020 Journal of Traditional Chinese Medicine. All rights reserved.
