Journal of Traditional Chinese Medicine ›› 2025, Vol. 45 ›› Issue (4): 770-776.DOI: 10.19852/j.cnki.jtcm.2025.04.007
• Original Articles • Previous Articles Next Articles
ZHOU Xia1, LIANG Kaiqing2, CHEN Weigang1, CAO Yong3, DUO Hongdong1, LI Qiangbin1, AN Yun1(
)
Received:2024-04-22
Accepted:2024-09-23
Online:2025-08-15
Published:2025-07-25
Contact:
AN Yun
About author:AN Yun, Digestive internal medicine, Panyu District Traditional Chinese Medicine Hospital, Guangzhou 511400, China. anyun_2022@163.com,Telephone: +86-20-85926915, +86-20-85926913Supported by:ZHOU Xia, LIANG Kaiqing, CHEN Weigang, CAO Yong, DUO Hongdong, LI Qiangbin, AN Yun. Effect of Jiawei Huangqi Guizhi decoction (加味黄芪桂枝汤) on the expression of gastrin content and phosphatidylinositol 3-kinase/ protein kinase B/mechanistic target of rapamycin complex 2 signalling pathways in rats with chronic atrophic gastritis[J]. Journal of Traditional Chinese Medicine, 2025, 45(4): 770-776.
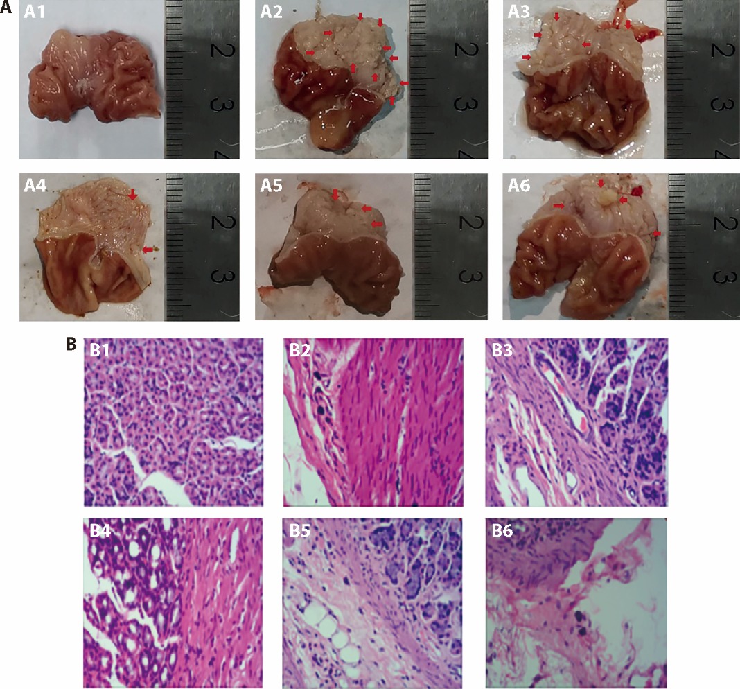
Figure 1 Effects of Jiawei Huangqi Guizhi decoction on gastric histopathology in rats with chronic atrophic gastritis. A: gross anatomy of gastric tissues in different groups; B: HE-stained gastric pathological sections. Magnification: × 100, × 200. A1, B1: NC group; A2, B2: MC group; A3, B3: AC group; A4, B4: HH group; A5, B5: HM group; A6, B6: HL group. NC group: normal rats without modeling or treatment (n = 10); MC group: rats with CAG induced by MNNG, without treatment (n = 10); AC group: CAG rats treated with folic acid (5 mg·kg-1·d-1, gavage, n = 10); HH group: CAG rats treated with high-dose Jiawei Huangqi Guizhi decoction (28 g/kg crude drug, gavage, n = 10); HM group: medium-dose group (14 g/kg crude drug, gavage, n = 10); HL group: low-dose group (7 g/kg crude drug, gavage, n = 10). All interventions were administered by gavage, once daily, 5 d per week for 6 weeks. HE: hematoxylin and eosin; MNNG: methylnitronitrosoguanidine; CAG: chronic atrophic gastritis.
| Group | n | Gross pathological changes | Pathological changes under microscope |
|---|---|---|---|
| NC | 5 | 0.0±0.0 | 0.0±0.0 |
| MC | 5 | 3.0±0.5a | 7.8±0.7a |
| AC | 5 | 1.6±0.3b | 2.8±2.2b |
| HH | 5 | 1.5±0.6b | 3.6±1.9b |
| HM | 5 | 1.4±0.5b | 2.6±2.1b |
| HL | 5 | 1.5±0.5b | 3.8±1.7b |
Table 1 Effect of Huangqi Guizhi decoction on pathological changes of rat stomach tissue ($\bar{x} \pm s$, n = 5)
| Group | n | Gross pathological changes | Pathological changes under microscope |
|---|---|---|---|
| NC | 5 | 0.0±0.0 | 0.0±0.0 |
| MC | 5 | 3.0±0.5a | 7.8±0.7a |
| AC | 5 | 1.6±0.3b | 2.8±2.2b |
| HH | 5 | 1.5±0.6b | 3.6±1.9b |
| HM | 5 | 1.4±0.5b | 2.6±2.1b |
| HL | 5 | 1.5±0.5b | 3.8±1.7b |
Figure 2 Comparison of serum expression levels of GC, PI3K, Akt and mTORC2 in CAG rats A-D: serum levels of GC (A), PI3K (B), Akt (C) and mTORC2 (D) in different groups after 6-week treatment. NC group: normal rats without modeling or treatment (n = 10); MC group: rats with chronic atrophic gastritis (CAG) induced by MNNG, without treatment (n = 10); AC group: CAG rats treated with folic acid (5 mg·kg-1·d-1, gavage, n = 10); HH group: CAG rats treated with high-dose Jiawei Huangqi Guizhi decoction (28 g/kg crude drug, gavage, n = 10); HM group: medium-dose group (14 g/kg crude drug, gavage, n = 10); HL group: low-dose group (7 g/kg crude drug, gavage, n = 10). All interventions were administered by gavage, once daily, 5 days per week for 6 weeks. GC: gastric corticosterone; Pi3K: phosphatidylinositol 3-kinase; Akt: protein kinase B; mTORC2: mechanistic target of rapamycin complex 2; CAG: chronic atrophic gastritis. Data are expressed as mean ± standard deviation (n = 10 per group). Statistical significance was determined by one-way analysis of variance. aP < 0.01, compared with the model group.
Figure 3 Comparison of PI3K, Akt and mTORC2 mRNA expression levels in gastric mucosa of CAG rats. A-C: relative mRNA expression levels of PI3K (A), Akt (B), and mTORC2 (C) in each group after 6-week treatment. NC group: normal rats without modeling or treatment (n = 10); MC group: rats with chronic atrophic gastritis (CAG) induced by MNNG, without treatment (n = 10); AC group: CAG rats treated with folic acid (5 mg·kg-1·d-1, gavage, n = 10); HH group: CAG rats treated with high-dose Jiawei Huangqi Guizhi decoction (28 g/kg crude drug, gavage, n = 10); HM group: medium-dose group (14 g/kg crude drug, gavage, n = 10); HL group: low-dose group (7 g/kg crude drug, gavage, n = 10). All interventions were administered by gavage, once daily, 5 d per week for 6 weeks. GC: gastric corticosterone; Pi3K: phosphatidylinositol 3-kinase; Akt: protein kinase B; mTORC2: mechanistic target of rapamycin complex 2; CAG: chronic atrophic gastritis. Data are expressed as mean ± standard deviation (n = 10 per group). Statistical significance was determined by one-way analysis of variance. aP < 0.01; bP < 0.05, compared with the model group.
Figure 4 Effect of Jiawei Huangqi Guizhi decoction on the protein expression levels of PI3K/Akt/mTORC2 pathway-related targets in gastric mucosa of CAG rats A: Western blot analysis of PI3K, p-PI3K, Akt, p-Akt and mTORC2 in different groups; B1-B5: quantitative analysis of protein levels of PI3K (B1), p-PI3K (B2), Akt (B3), p-Akt (B4) and mTORC2 (B5), normalized to GAPDH. NC group: normal rats without modeling or treatment (n = 10); MC group: rats with CAG induced by MNNG, without treatment (n = 10); AC group: CAG rats treated with folic acid (5 mg·kg-1·d-1, gavage, n = 10); HH group: CAG rats treated with high-dose Jiawei Huangqi Guizhi decoction (28 g/kg crude drug, gavage, n = 10); HM group: medium-dose group (14 g/kg crude drug, gavage, n = 10); HL group: low-dose group (7 g/kg crude drug, gavage, n = 10). All interventions were administered by gavage, once daily, 5 d per week for 6 weeks. Pi3K: phosphatidylinositol 3-kinase; p-Pi3K: phosphorylated phosphatidylinositol 3-kinase; Akt: protein kinase B; p-Akt: phosphorylated protein kinase B; mTORC2: mechanistic target of rapamycin complex 2s; GADPH: glyceraldehyde-3-phosphate dehydrogenase; CAG: chronic atrophic gastritis. Data are expressed as mean ± standard deviation (n = 10 per group). Statistical significance was determined by one-way analysis of variance. aP < 0.01; bP < 0.05, compared with the model group.
| 1. | Islami F, Ward EM, Sung H, et al. Annual report to the nation on the status of cancer, part 1:national cancer statistics. J Natl Cancer Inst 2021; 113: 1648-69. |
| 2. | Jiana Z. WHO's latest cancer report: breast cancer replaces lung cancer as the world's largest cancer China becomes the country with the largest number of new cancers. Everyone's Health 2021; 3: 11. |
| 3. | Spleen and Stomach Disease Branch of Chinese Medicine Association. Diagnosis and treatment of chronic atrophic gastritis with Traditional Chinese Medicine (Shenzhen, 2009). Zhong Xi Yi Jie He Xiao Hua Za Zhi 2010; 18: 345-9. |
| 4. | Fang JY, Du YQ, Liu WZ, et al. Chinese consensus on chronic gastritis (2017, Shanghai). J Dig Dis 2018; 19: 182-203. |
| 5. | An Y, Chen WG, Li QB, Du HD. Observation on the effect of modified Huangqi Guizhi decoction in treating chronic atrophic gastritis of deficiency cold of spleen and stomach type. Zhong Guo She Qu Yi Shi 2023; 39: 84-6. |
| 6. | Lian YH, Zhao B, Zhou B. Clinical observation on the treatment of chronic atrophic gastritis with Wenyang Jianpi decoction for spleen and stomach weakness. Zhong Yi Yao Xue Bao 2017; 32: 2814-7. |
| 7. |
Mayer IA, Arteaga CL. The PI3K/AKT pathway as a target for cancer treatment. Annu Rev Med 2016; 67: 11-28.
DOI PMID |
| 8. | Li J, Zhou HJ. Progress of PI3K/Akt signaling pathway in tumor research. Dong Nan Da Xue Xue Bao Yi Xue Ban 2014; 33: 392-5. |
| 9. | Tapia O, Riquelme I, Leal P, et al. The PI3K/AKT/mTOR pathway is activated in gastric cancer with potential prognostic and predictive significance. Virchows Arch 2014; 465: 25-33. |
| 10. | Su LZ, Jiao LJ, Xu L. Clinical research progress of Chinese medicine in the treatment of gastric cancer. Lin Chuang Yi Xue 2021; 42: 335-9. |
| 11. | Yan ZP, Xu TT, An ZT, Lu WL. Effect of Spleen and Qi Formula on PI3K-Akt signaling pathway in gastric tissue in rats with chronic atrophic gastritis. Zhong Yi Za Zhi 2019; 34: 4800-4. |
| 12. | Zhou KJ, Hu N, Wu XY, Lin Q. The expression and clinical significance of TGF-β, PD-L1 and PI3K protein in gastric carcinoma. Xian Dai Zhong Liu 2022; 30: 2394-9. |
| 13. | Xu SY. Pharmacological experimental methodology. Beijing: People's Medical Publishing House, 2002: 103-4. |
| 14. | Chinese Society of Gastroenterology, Gastroenterology Group. Chinese consensus opinions on chronic gastritis (2017, Shanghai). Zhong Guo Xiao Hua Za Zhi 2017; 37: 721-38. |
| 15. |
Yang SX, Polley E, Lipkowitz S. New insights on PI3K/AKT pathway alterations and clinical outcomes in breast cancer. Cancer Treat Rev 2016; 45: 87-96.
DOI PMID |
| 16. |
Wang T, Seah S, Loh X, et al. Simvastatin-induced breast cancer cell death and deactivation of PI3K/Akt and MAPK/ERK signalling are reversed by metabolic products of the mevalonate pathway. Oncotarget 2016; 7: 2532-44.
DOI PMID |
| 17. | Singh SS, Yap WN, Arfuso F, et al. Targeting the PI3K/Akt signaling pathway in gastric carcinoma: a reality for personalized medicine? World J Gastroenterol 2015; 21: 12261-73. |
| 18. | Song HN, Yu JN, Lu JH, Chen L, Lin HY. Akt-Mdm2-P53 mechanism of atrophic gastritis in the treatment of chronic atrophic gastritis in rats. Zhong Guo Lao Nian Xue Za Zhi 2020; 40: 1308-12. |
| 19. |
Xia Z, Gao T, Zong Y, Shen XQ. Evaluation of subchronic toxicity of GRD081, a dual PI3K/mTOR inhibitor, after 28-day repeated oral administration in Sprague-Dawley rats and beagle dogs. Food Chem Toxicol 2013; 62: 687-98.
DOI PMID |
| 20. | Tabe Y, Tafuri A, Sekihara K, Yang H, Konopleva M. Inhibition of mTOR kinase as a therapeutic target for acute myeloid leukemia. Expert Opin Ther Targets 2017; 21: 705-14. |
| 21. |
Takeuchi CS, Kim BG, Blazey CM, et al. Discovery of a novel class of highly potent, selective, ATP-competitive, and orally bioavailable inhibitors of the mammalian target of rapamycin (mTOR). J Med Chem 2013; 56: 2218-34.
DOI PMID |
| 22. | Zhang H, Bao XJ, Dai CX, Zhu LT. Advances in PI3K/AKT/ mTOR signaling pathway in nonfunctioning pituitary adenomas. Zhong Guo Yi Xue 2015; 47: 3874-6. |
| Viewed | ||||||
|
Full text |
|
|||||
|
Abstract |
|
|||||
Sponsored by China Association of Chinese Medicine
& China Academy of Chinese Medical Sciences
16 Nanxiaojie, Dongzhimen Nei, Beijing, China. 100700 Email: jtcmen@126.com
Copyright 2020 Journal of Traditional Chinese Medicine. All rights reserved.
