Journal of Traditional Chinese Medicine ›› 2025, Vol. 45 ›› Issue (2): 348-358.DOI: 10.19852/j.cnki.jtcm.2025.02.003
• Original articles • Previous Articles Next Articles
HU Junwei1, FENG Jiwei1, LI Wen2, LIU Lumin1, LI Xu1, XU Ge3, LIU Jiandang4(
), CHEN Yuelai1(
)
Received:2023-12-22
Accepted:2024-04-19
Online:2025-04-15
Published:2025-03-10
Contact:
Prof. CHEN Yuelai, Department of Acupuncture and Moxibustion, Longhua Hospital Affiliated to Shanghai University of Traditional Chinese Medicine, Shanghai 200032, China, chenyuelai@163.com; LIU Jiandang, Graduate School, Shanghai University of Traditional Chinese Medicine, Shanghai 201203, China, ljdqiyi@163.com, Telephone: +86-13020193726; +86-13817613162
Supported by:HU Junwei, FENG Jiwei, LI Wen, LIU Lumin, LI Xu, XU Ge, LIU Jiandang, CHEN Yuelai. Electroacupuncture improves cyclophosphamide-induced bladder overactivity by reducing mechanotransduction in the rat urothelium[J]. Journal of Traditional Chinese Medicine, 2025, 45(2): 348-358.
| Group | n | Storage time (min) | Bladder capacity (mL) | Voiding pressure (cmH2O) | ||||
|---|---|---|---|---|---|---|---|---|
| Model establishment | After intervention | Model establishment | After intervention | Model establishment | After intervention | |||
| Control | 10 | 6.02±0.68 | 6.11±0.93 | 1.51±0.17 | 1.53±0.23 | 58.50±6.87 | 59.60±7.24 | |
| Model | 10 | 3.07±1.03a | 2.63±0.74a | 0.77±0.26a | 0.68±0.19a | 46.20±6.56a | 43.60±4.79a | |
| EA | 10 | 3.06±1.22a | 5.38±1.12bc | 0.77±0.31a | 1.35±0.28bc | 47.00±4.16a | 52.60±4.27abc | |
| HC-067047 | 10 | 3.20±0.87a | 5.74±1.11bc | 0.80±0.22a | 1.43±0.28bc | 46.90±7.03a | 53.40±4.99abc | |
Table 1 Comparison of urodynamic evaluation ($\bar{x}±s$)
| Group | n | Storage time (min) | Bladder capacity (mL) | Voiding pressure (cmH2O) | ||||
|---|---|---|---|---|---|---|---|---|
| Model establishment | After intervention | Model establishment | After intervention | Model establishment | After intervention | |||
| Control | 10 | 6.02±0.68 | 6.11±0.93 | 1.51±0.17 | 1.53±0.23 | 58.50±6.87 | 59.60±7.24 | |
| Model | 10 | 3.07±1.03a | 2.63±0.74a | 0.77±0.26a | 0.68±0.19a | 46.20±6.56a | 43.60±4.79a | |
| EA | 10 | 3.06±1.22a | 5.38±1.12bc | 0.77±0.31a | 1.35±0.28bc | 47.00±4.16a | 52.60±4.27abc | |
| HC-067047 | 10 | 3.20±0.87a | 5.74±1.11bc | 0.80±0.22a | 1.43±0.28bc | 46.90±7.03a | 53.40±4.99abc | |
| Group | n | The number of urinations in 3 h | Total urinary output in 24 h |
|---|---|---|---|
| Control | 10 | 7.3±1.5 | 20.0±1.9 |
| Model | 10 | 18.9± 2.2a | 7.9±1.8a |
| EA | 10 | 10.0±1.2ab | 15.1±1.6ab |
| HC-067047 | 10 | 9.5±1.1ab | 16.0±1.7ab |
Table 2 Comparison of voiding behavior ($\bar{x}±s$)
| Group | n | The number of urinations in 3 h | Total urinary output in 24 h |
|---|---|---|---|
| Control | 10 | 7.3±1.5 | 20.0±1.9 |
| Model | 10 | 18.9± 2.2a | 7.9±1.8a |
| EA | 10 | 10.0±1.2ab | 15.1±1.6ab |
| HC-067047 | 10 | 9.5±1.1ab | 16.0±1.7ab |
| Group | n | Bladder weight (mg) | Fluorescent intensity (AU) | Protein (TRPV4/β-Actin) | mRNA (TRPV4/β-Actin) |
|---|---|---|---|---|---|
| Control | 10 | 86.0246±2.7341 | 0.0419±0.0034 | 0.3046±0.0451 | 3.0233±0.7845 |
| Model | 10 | 110.5827±3.7873a | 0.0517±0.0043a | 0.8840±0.0694a | 7.7579±1.7223a |
| EA | 10 | 93.1403±4.2128ab | 0.0461±0.0046b | 0.6490±0.0408ab | 4.1362±0.9476b |
| HC-067047 | 10 | 93.9763±2.6271ab | 0.0441±0.0028b | 0.4303±0.0270ab | 3.3301±0.4104b |
Table 3 Comparison of bladder weight and the expression of TRPV4 in urothelium ($\bar{x}±s$)
| Group | n | Bladder weight (mg) | Fluorescent intensity (AU) | Protein (TRPV4/β-Actin) | mRNA (TRPV4/β-Actin) |
|---|---|---|---|---|---|
| Control | 10 | 86.0246±2.7341 | 0.0419±0.0034 | 0.3046±0.0451 | 3.0233±0.7845 |
| Model | 10 | 110.5827±3.7873a | 0.0517±0.0043a | 0.8840±0.0694a | 7.7579±1.7223a |
| EA | 10 | 93.1403±4.2128ab | 0.0461±0.0046b | 0.6490±0.0408ab | 4.1362±0.9476b |
| HC-067047 | 10 | 93.9763±2.6271ab | 0.0441±0.0028b | 0.4303±0.0270ab | 3.3301±0.4104b |
Figure 1 Effect of EA on OAB symptoms in rats A1-A4: representative urine spot plots. B1-B4: urodynamic diagram. A1, B1: no modeling or treatment was administered. A2, B2: a single intraperitoneal injection of 2.5% cyclophosphamide (150 mg/kg) without any treatment. A3, B3: EA: treatment once daily for three consecutive days after molding. A4, B4: HC-067047 (TRPV4 antagonist) (0.2 mL/time) was instilled into the bladder for 3 consecutive days after molding. EA: electroacupuncture; OAB: overactive bladder; TRPV4: transient receptor potential vanilloid 4.
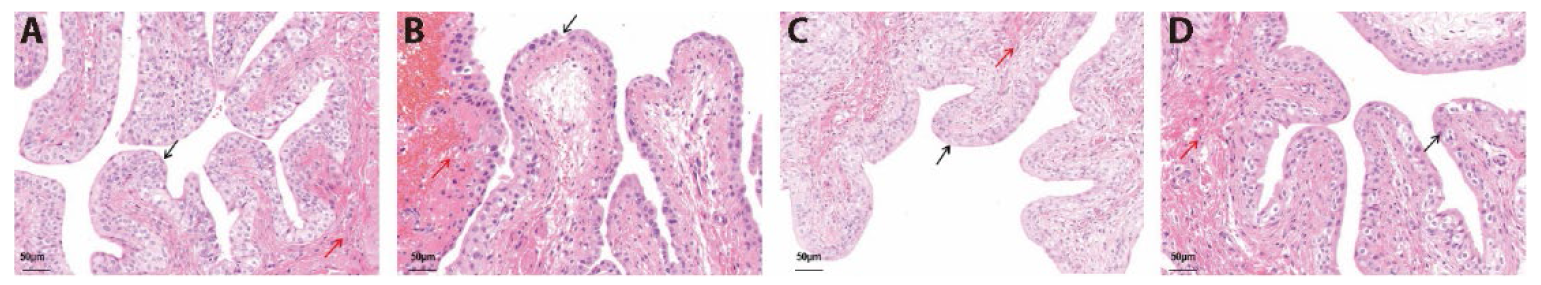
Figure 2 Bladder urothelium tissue structure [HE staining of the bladder wall (×20)] A: control; B: Model; C: EA; D: HC-067047. Control: no modeling or treatment was administered; Model: a single intraperitoneal injection of 2.5% cyclophosphamide (150 mg/kg) without any treatment. EA: EA treatment once daily for three consecutive days after molding. HC-067047 (TRPV4 antagonist): HC-067047 (0.2 mL/time) was instilled into the bladder for 3 consecutive days after molding. EA: electroacupuncture; HE staining: hematoxylin and eosin staining; TRPV4: transient receptor potential vanilloid 4.
Figure 3 TRPV4 expression in the bladder urothelium A1-A4 (× 20): DAPI dyeing; B1-B4 (× 20): immunofluorescence assay: Alexa Fluor ?. Cy-7 dyeing; C1-C4 (× 20): immunofluorescence assay: Alexa Fluor ?. TRPV4 dyeing; D1-D4 (× 20): merge of DAPI dyeing, Cy-7 dyeing and TRPV4 dyeing. A1, B1, C1, D1: control; A2, B2, C2, D2: Model; A3, B3, C3, D3: EA; A4, B4, C4, D4: HC-067047. Control: no modeling or treatment was administered; Model: a single intraperitoneal injection of 2.5% cyclophosphamide (150 mg/kg) without any treatment. EA: EA treatment once daily for three consecutive days after molding. HC-067047 (TRPV4 antagonist): HC-067047 (0.2 mL/time) was instilled into the bladder for 3 consecutive days after molding. TRPV4: transient receptor potential vanilloid 4; DAPI: 4',6-diamidino-2-phenylindole; EA: electroacupuncture.
Figure 4 TRPV4 protein expression in the bladder urothelium Control: no modeling or treatment was administered; model: a single intraperitoneal injection of 2.5% cyclophosphamide (150 mg/kg) without any treatment. EA: EA treatment once daily for three consecutive days after molding. HC-067047 (TRPV4 antagonist): HC-067047 (0.2 mL/time) was instilled into the bladder for 3 consecutive days after molding. TRPV4: transient receptor potential vanilloid 4; EA: electroacupuncture.
| Group | n | Ca2+(F1/F0) | The release of ATP (nM) | The release of Ach (nM) | ||||
|---|---|---|---|---|---|---|---|---|
| Isotonic state | Hypotonicity state | F1/F0 | Isotonic state | Hypotonicity state | F1/F0 | |||
| Control | 10 | 0.83±0.44 | 2.20±0.50 | 4.49±1.19c | 1.08±0.54 | 10.57±2.37 | 20.88±5.82c | 0.95±0.13 |
| Model | 10 | 2.99±0.92a | 4.66±1.03a | 18.38±4.40ac | 3.13±1.32a | 19.81±3.28a | 79.10±9.16ac | 2.94±0.35a |
| EA | 10 | 1.52±0.75ab | 3.94±1.05ab | 10.68±1.73abc | 1.88±0.80ab | 14.69±4.15ab | 44.55±8.15abc | 2.12±0.44ab |
| HC-067047 | 10 | 1.45±0.66ab | 3.72±1.28ab | 10.08±2.80abc | 1.85±0.72ab | 14.51±3.53ab | 43.35±8.76abc | 2.03±0.31ab |
Table 4 Comparison of the mechanical sensitivity of urothelial cells ($\bar{x}±s$)
| Group | n | Ca2+(F1/F0) | The release of ATP (nM) | The release of Ach (nM) | ||||
|---|---|---|---|---|---|---|---|---|
| Isotonic state | Hypotonicity state | F1/F0 | Isotonic state | Hypotonicity state | F1/F0 | |||
| Control | 10 | 0.83±0.44 | 2.20±0.50 | 4.49±1.19c | 1.08±0.54 | 10.57±2.37 | 20.88±5.82c | 0.95±0.13 |
| Model | 10 | 2.99±0.92a | 4.66±1.03a | 18.38±4.40ac | 3.13±1.32a | 19.81±3.28a | 79.10±9.16ac | 2.94±0.35a |
| EA | 10 | 1.52±0.75ab | 3.94±1.05ab | 10.68±1.73abc | 1.88±0.80ab | 14.69±4.15ab | 44.55±8.15abc | 2.12±0.44ab |
| HC-067047 | 10 | 1.45±0.66ab | 3.72±1.28ab | 10.08±2.80abc | 1.85±0.72ab | 14.51±3.53ab | 43.35±8.76abc | 2.03±0.31ab |
| 1. |
Gormley EA, Lightner DJ, Burgio KL, et al. Diagnosis and treatment of overactive bladder (non-neurogenic) in adults: AUA/SUFU guideline. J Urol 2012; 188: 2455-63.
DOI PMID |
| 2. |
Irwin DE, Milsom I, Hunskaar S, et al. Population-based survey of urinary incontinence, overactive bladder, and other lower urinary tract symptoms in five countries: results of the EPIC study. Eur Urol 2006; 50: 1306-15.
DOI PMID |
| 3. | Chuang YC, Liu SP, Lee KS, et al. Prevalence of overactive bladder in China, Taiwan and South Korea: results from a cross-sectional, population-based study. Low Urin Tract Symptoms 2019; 11: 48-55. |
| 4. |
Milsom I, Kaplan SA, Coyne KS, et al. Effect of bothersome overactive bladder symptoms on health-related quality of life, anxiety, depression, and treatment seeking in the United States: results from EpiLUTS. Urology 2012; 80: 90-6.
DOI PMID |
| 5. |
Coyne KS, Sexton CC, Kopp ZS, et al. The impact of overactive bladder on mental health, work productivity and health-related quality of life in the UK and Sweden: results from EpiLUTS. BJU Int 2011; 108: 1459-71.
DOI PMID |
| 6. |
Sergeant GP, Hollywood MA, Thornbury KD. Spontaneous activity in urethral smooth muscle. Adv Exp Med Biol 2019; 1124: 149-67.
DOI PMID |
| 7. |
Shimizu T, Majima T, Suzuki T, et al. Nerve growth factor-dependent hyperexcitability of capsaicin-sensitive bladder afferent neurones in mice with spinal cord injury. Exp Physiol 2018; 103: 896-904.
DOI PMID |
| 8. |
Lee SR, Kim HJ, Kim A, et al. Overactive bladder is not only overactive but also hypersensitive. Urology 2010; 75: 1053-9.
DOI PMID |
| 9. | Birder LA, Kanai AJ, de Groat WC, et al. Vanilloid receptor expression suggests a sensory role for urinary bladder epithelial cells. Proc Natl Acad Sci U S A 2001; 98: 13396-401. |
| 10. |
Merrill L, Gonzalez EJ, Girard BM, et al. Receptors, channels, and signalling in the urothelial sensory system in the bladder. Nat Rev Urol 2016; 13: 193-204.
DOI PMID |
| 11. |
Roberts MWG, Sui G, Wu R, et al. TRPV4 receptor as a functional sensory molecule in bladder urothelium: stretch-independent, tissue-specific actions and pathological implications. FASEB J 2020; 34: 263-86.
DOI PMID |
| 12. | Merrill L, Vizzard MA. Intravesical TRPV4 blockade reduces repeated variate stress-induced bladder dysfunction by increasing bladder capacity and decreasing voiding frequency in male rats. Am J Physiol Regul Integr Comp Physiol 2014; 307: R471-80. |
| 13. |
Mochizuki T, Sokabe T, Araki I, et al. The TRPV4 cation channel mediates stretch-evoked Ca2+ influx and ATP release in primary urothelial cell cultures. J Biol Chem 2009; 284: 21257-64.
DOI PMID |
| 14. | Takezawa K, Kondo M, Nonomura N, et al. Urothelial ATP signaling: what is its role in bladder sensation? Neurourol Urodyn 2017; 36: 966-72. |
| 15. | Knight GE, Bodin P, De Groat WC, et al. ATP is released from guinea pig ureter epithelium on distension. Am J Physiol Renal Physiol 2002; 282: F281-8. |
| 16. | Mills KA, Chess-Williams R, McDermott C. Novel insights into the mechanism of cyclophosphamide-induced bladder toxicity: chloroacetaldehyde's contribution to urothelial dysfunction in vitro. Arch Toxicol 2019; 93: 3291-303. |
| 17. | Feng QF, Fu YL, Chen C, et al. Quantity-effect relationship of electroacupuncture for urge incontinence: a multicenter randomized controlled trial. J Acupunct Tuina Sci 2012; 10: 49-53. |
| 18. | Feng QF, Zhang AD, Wang X, et al. Clinical efficacy of different frequencies of electroacupuncture in the treatment of overactive bladder. Zhong Hua Zhong Yi Yao Za Zhi 2019; 34: 5996-9 |
| 19. | Zhang AD, Feng JW, Liu JD, et al. Urodynamics and contractility of isolated detrusor muscle strips at different time points after electroacupuncture in rats with overactive detrusor muscles. Shanghai Zhong Yi Yao Za Zhi 2022; 56: 68-73. |
| 20. | Feng QF, Zhang AD, Xing M, et al. Electroacupuncture alleviates bladder overactivity via inhabiting bladder P2X3 receptor. Evid Based Complement Alternat Med 2020; 2020: 4080891. |
| 21. |
Bon K, Lichtensteiger CA, Wilson SG, et al. Characterization of cyclophosphamide cystitis, a model of visceral and referred pain, in the mouse: species and strain differences. J Urol 2003; 170: 1008-12.
DOI PMID |
| 22. |
Kloskowski T, Uzarska M, Gurtowska N, et al. How to isolate urothelial cells? Comparison of four different methods and literature review. Hum Cell 2014; 27: 85-93.
DOI PMID |
| 23. |
Creighton SM, Pearce JM, Robson I, et al. Sensory urgency: how full is your bladder? Br J Obstet Gynaecol 1991; 98: 1287-9.
PMID |
| 24. | Tsunoyama K, Sakakibara R, Yamaguchi C, et al. Pathogenesis of reduced or increased bladder sensation. Neurourol Urodyn 2011; 30: 339-43. |
| 25. | Kuo HC, Liu HT, Chuang YC, et al. Pilot study of liposome-encapsulated onabotulinumtoxina for patients with overactive bladder: a single-center study. Eur Urol 2014; 65: 1117-24. |
| 26. | Chuang YC, Kaufmann JH, Chancellor DD, et al. Bladder instillation of liposome encapsulated onabotulinumtoxina improves overactive bladder symptoms: a prospective, multicenter, double-blind, randomized trial. J Urol 2014; 192: 1743-9. |
| 27. | Zeng YJ, Chen C, Xing M, et al. Clinical evaluation study of acupuncture in the treatment of urge urinary incontinence. Shanghai Zhen Jiu Za Zhi 2012; 31: 485-7. |
| 28. | Lin ZX, Chan NHT, Kwan YK, et al. A randomized controlled trial to assess the effectiveness and safety of acupuncture for overactive bladder: a study in Hong Kong population. Chin Med 2020; 15: 108. |
| 29. | Yang L, Wang Y, Mo Q, et al. A comparative study of electroacupuncture at Zhongliao (BL33) and other acupoints for overactive bladder symptoms. Front Med 2017; 11: 129-36. |
| 30. | He T, Yang S, Mo Q. Literature analysis on characteristic of diagnozing and treating overactive bladder by acupuncture and moxibustion. Guiyang Zhong Yi Xue Yuan Xue Bao 2018; 40: 95-100. |
| 31. | Feng QF, Hou YH, Hou WG, et al. The effects of acupuncture on bladder interstitial cells of cajal excitability in rats with overactive bladder. Evid Based Complement Alternat Med 2013; 2013: 261217. |
| 32. | Birder LA. Urothelial signaling. Auton Neurosci 2010; 153: 33-40. |
| 33. |
Watanabe H, Davis JB, Smart D, et al. Activation of TRPV4 channels (hVRL-2/mTRP12) by phorbol derivatives. J Biol Chem 2002; 277: 13569-77.
DOI PMID |
| 34. |
Liedtke W, Choe Y, Marti-Renom MA, et al. Vanilloid receptor-related osmotically activated channel (VR-OAC), a candidate vertebrate osmoreceptor. Cell 2000; 103: 525-35.
DOI PMID |
| 35. |
Gao X, Wu L, O'Neil RG. Temperature-modulated diversity of TRPV4 channel gating: activation by physical stresses and phorbol ester derivatives through protein kinase C-dependent and -independent pathways. J Biol Chem 2003; 278: 27129-37.
DOI PMID |
| 36. |
Deruyver Y, Weyne E, Dewulf K, et al. Intravesical activation of the cation channel TRPV4 improves bladder function in a rat model for detrusor underactivity. Eur Urol 2018; 74: 336-45.
DOI PMID |
| 37. | Lottering B, Lin YW. TRPV1 responses in the cerebellum lobules Ⅵ, Ⅶ, Ⅷ using electroacupuncture treatment for chronic pain and depression comorbidity in a murine model. Int J Mol Sci 2021; 22: 5028. |
| 38. | Liao HY, Lin YW. Electroacupuncture attenuates chronic inflammatory pain and depression comorbidity through transient receptor potential V1 in the brain. Am J Chin Med 2021; 49: 1417-35. |
| 39. | Aizawa N, Wyndaele JJ, Homma Y, et al. Effects of TRPV4 cation channel activation on the primary bladder afferent activities of the rat. Neurourol Urodyn 2012; 31: 148-55. |
| 40. | Ferguson DR, Kennedy I, Burton TJ. ATP is released from rabbit urinary bladder epithelial cells by hydrostatic pressure changes--a possible sensory mechanism? J Physiol 1997; 505: 503-11. |
| 41. |
Namasivayam S, Eardley I, Morrison JF. Purinergic sensory neurotransmission in the urinary bladder: an in vitro study in the rat. BJU Int 1999; 84: 854-60.
PMID |
| 42. |
Gevaert T, Vriens J, Segal A, et al. Deletion of the transient receptor potential cation channel TRPV4 impairs murine bladder voiding. J Clin Invest 2007; 117: 3453-62.
DOI PMID |
| 43. | Birder LA, Ruan HZ, Chopra B, et al. Alterations in P2X and P2Y purinergic receptor expression in urinary bladder from normal cats and cats with interstitial cystitis. Am J Physiol Renal Physiol 2004; 287: F1084-91. |
| 44. | Cockayne DA, Dunn PM, Zhong Y, et al. P2X2 knockout mice and P2X2/P2X3 double knockout mice reveal a role for the P2X2 receptor subunit in mediating multiple sensory effects of ATP. J Physiol 2005; 567: 621-39. |
| 45. |
Spencer NJ, Greenheigh S, Kyloh M, et al. Identifying unique subtypes of spinal afferent nerve endings within the urinary bladder of mice. J Comp Neurol 2018; 526: 707-20.
DOI PMID |
| 46. | Beckel JM, Daugherty SL, Tyagi P, et al. Pannexin 1 channels mediate the release of ATP into the lumen of the rat urinary bladder. J Physiol 2015; 593: 1857-71. |
| 47. | Ueda N, Kondo M, Takezawa K, et al. Intravesical ATP instillation induces urinary frequency because of activation of bladder afferent nerves without inflammatory changes in mice: a promising model for overactive bladder. Biochem Biophys Res Commun 2018; 506: 498-503. |
| 48. | Sui G, Fry CH, Montgomery B, et al. Purinergic and muscarinic modulation of ATP release from the urothelium and its paracrine actions. Am J Physiol Renal Physiol 2014; 306: F286-98. |
| 49. | Birder LA, Barrick SR, Roppolo JR, et al. Feline interstitial cystitis results in mechanical hypersensitivity and altered ATP release from bladder urothelium. Am J Physiol Renal Physiol 2003; 285: F423-9. |
| 50. |
Coco S, Calegari F, Pravettoni E, et al. Storage and release of ATP from astrocytes in culture. J Biol Chem 2003; 278: 1354-62.
DOI PMID |
| 51. | Sabirov RZ, Okada Y. ATP release via anion channels. Purinergic Signal 2005; 1: 311-28. |
| [1] | LI Yongfeng, CHEN Xinyi, REN Wei, QIAO Haifa. Electroacupuncture stimulation of auricular concha region improves loss of control over stress induced depression-like behavior by modulating 5-hydroxytryptamine 1A receptor [J]. Journal of Traditional Chinese Medicine, 2025, 45(2): 326-334. |
| [2] | LI Siting, WANG Shaojun, YIN Yehui, DE Gejing, LI Caicai, WANG Ziyan, CAO Wenjie. Electroacupuncture alleviates zymosan-induced colorectal hypersensitivity [J]. Journal of Traditional Chinese Medicine, 2025, 45(1): 32-38. |
| [3] | Emre Bulut, Didem Özkal Eminoğlu, Yasemin Çayır. Effect of electroacupuncture on pain after periodontal flap surgery: a randomized controlled trial [J]. Journal of Traditional Chinese Medicine, 2025, 45(1): 184-191. |
| [4] | ZHANG Boyang, ZHOU Yang, FENG Liyuan, SUI Dan, HE Lei, TONG Dan, WANG Ruoyu, SUI Xue, SONG Jing, WANG Dongyan. A neural regulation mechanism of head electroacupuncture on brain network of patients with stroke related sleep disorders [J]. Journal of Traditional Chinese Medicine, 2024, 44(6): 1268-1276. |
| [5] | XU Yingshan, WU Chunxiao, YU Wei, GUO Hongji, LU Liming, XU Nenggui, TANG Chunzhi. Systematic review and Meta-analysis of brain plasticity associated with electroacupuncture in experimental ischemic stroke [J]. Journal of Traditional Chinese Medicine, 2024, 44(5): 859-870. |
| [6] | ZHANG Fang, YAN Cuina, WENG Zhijun, WU Luyi, QI Li, ZHAO Min, XIN Yuhu, WU Huangan, LIU Huirong. Regulatory role of electroacupuncture on satellite glial cell activity in the colon and dorsal root ganglion of rats with irritable bowel syndrome [J]. Journal of Traditional Chinese Medicine, 2024, 44(5): 981-990. |
| [7] | CHEN Yonglin, OUYANG Ling, MENG Lingling, WU Bufan, PENG Rou, LIU Sitong, HOU Dan, WANG Yaling, JING Xinyue, LU Shengfeng, FU Shuping. Electroacupuncture ameliorates blood-brain barrier disruption after ischemic stroke through histone acetylation regulation at the matrix metalloproteinase 9 and tissue inhibitor of metalloproteinase 2 genes [J]. Journal of Traditional Chinese Medicine, 2024, 44(4): 734-744. |
| [8] | WANG Shaosong, SUN Jingqing, FENG Qingyin, LI Bin, WANG Xin, YUAN Fan, CUI Yingxue. Effectivenss of electroacupuncture for skeletal muscle pain in Parkinson's disease: a Clinical randomized controlled trial [J]. Journal of Traditional Chinese Medicine, 2024, 44(2): 388-395. |
| [9] | QIN Xiaoyu, WANG Chunai, XUE Jianjun, ZHANG Jie, LU Xiaoting, DING Shengshuang, GE Long, WANG Minzhen. Efficacy of electroacupuncture on myocardial protection and postoperative rehabilitation in patients undergoing cardiac surgery with cardiopulmonary bypass: a systematic review and Meta-analysis [J]. Journal of Traditional Chinese Medicine, 2024, 44(1): 1-15. |
| [10] | SUN Qianhui, CHENG Kai, DAI Xingye, YANG Zhiwen, WU Xiaoling, XU Chang, QIU Xinghua, GAO Xiaofeng, LIU Daonan, YANG Qirui. Effect of electroacupuncture at Neiguan (PC6) at different time points on myocardial ischemia reperfusion arrhythmia in rats [J]. Journal of Traditional Chinese Medicine, 2024, 44(1): 113-121. |
| [11] | DU Zhongheng, CONG Wenjie, TANG Kejing, ZHENG Qiqi, SONG Zhiwei, CHEN Yong, YANG Su, ZHANG Chunwu, YE Tianshen. Electroacupuncture stimulating Zusanli (ST36), Sanyinjiao (SP6) in mice with collagen-induced arthritis leads to adenosine A2A receptor-mediated alteration of p38α mitogen-activated protein kinase signaling and inhibition of osteoclastogenesis [J]. Journal of Traditional Chinese Medicine, 2023, 43(6): 1103-1109. |
| [12] | JIANG Jianzhen, ZHANG Xin, LUO Zhenguo, SU Chengguo, ZHOU Haiyan, JIANG Yuqing, XIAO Xianjun, CHEN Yunfei, ZHU Jun. Efficacy of electroacupuncture stimulating Zusanli (ST36) and Xuanzhong (GB39) on synovial angiogenesis in rats with adjuvant arthritis [J]. Journal of Traditional Chinese Medicine, 2023, 43(5): 955-962. |
| [13] | LI Zhihao, HAN Wenjun, SONG Xiuling, LI Yan, CHEN Yuelai. Electroacupuncture stimulating Zhongji (CV3), Guanyuan (CV4), and bilateral Dahe (KI12) attenuates inflammation in rats with chronic nonbacterial prostatitis induced by estradiol through inhibiting toll-like receptor 4 pathway [J]. Journal of Traditional Chinese Medicine, 2023, 43(5): 963-972. |
| [14] | DING Luobin, WANG Huajun, LI Yao, LI Jia, LI Ling, GAO Yangping, GUAN Jian, GENG Weiqiang. Electroacupuncture stimulating Neixiyan (EX-LE5) and Dubi (ST35) alleviates osteoarthritis in rats induced by anterior cruciate ligament transaction via affecting DNA methylation regulated transcription of miR-146a and miR-140-5p [J]. Journal of Traditional Chinese Medicine, 2023, 43(5): 983-990. |
| [15] | SUN Mengzhu, ZHANG Yujie, SONG Yafang, GUO Jing, WANG Yuhang, XIN Chen, GU Dongmei, SUN Jianhua, PEI Lixia. Electroacupuncture alleviates water avoidance stress-induced irritable bowel syndrome in mice by improving intestinal barrier functions and suppressing the expression of inflammatory cytokines [J]. Journal of Traditional Chinese Medicine, 2023, 43(3): 494-500. |
| Viewed | ||||||
|
Full text |
|
|||||
|
Abstract |
|
|||||
Sponsored by China Association of Chinese Medicine
& China Academy of Chinese Medical Sciences
16 Nanxiaojie, Dongzhimen Nei, Beijing, China. 100700 Email: jtcmen@126.com
Copyright 2020 Journal of Traditional Chinese Medicine. All rights reserved.
