Journal of Traditional Chinese Medicine ›› 2023, Vol. 43 ›› Issue (3): 484-493.DOI: 10.19852/j.cnki.jtcm.20230214.005

Previous Articles     Next Articles

Protective effect of Tongdu Tiaoshen acupuncture combined with Xiaoxuming decoction (小续命汤) on dopaminergic neurons in Parkinson’s disease model

WU Haiyang1, WANG Ying1(), HAN Wei2(), LI Huihui3, JI Haisheng3, LIU Xiuxiu3   

  1. 1 Department of encephalopathy, the Second Affiliated Hospital of Anhui University of Traditional Chinese Medicine, Hefei 230061, China
    2 Deparment of acupuncture and Moxibustion, The Affiliated Brain Hospital of Guangzhou Medical University, Guangzhou 510370, China
    3 Department of acupuncture and massage, Anhui University of Chinese Medicine, Hefei 230061, China
  • Received:2022-08-03 Accepted:2022-11-23 Online:2023-06-15 Published:2023-02-14
  • Contact: HAN Wei, Deparment of acupuncture and Moxibustion, the Affiliated Brain Hospital of Guangzhou Medical University, Guangzhou 510370, China. 13956060099@163.com. Telephone: +86-13956060099
    WANG Ying, Department of Encephalopathy, the Second Affiliated Hospital of Anhui University of Traditional Chinese Medicine, Hefei 230061, China. zhenjiu205@126.com
  • Supported by:
    Study on the Mechanism of Regulating miR-124 by Tongdu Tiaoshen Acupuncture to Promote Neuroprotection in Cerebral Ischemia Reperfusion Injury(81973933);Study on the Regulatory Mechanism of Tongdu Tiaoshen Acupuncture on Dopaminergic Neurons in Parkinson's Disease Model Mice Based on Mitochondrial Autophagy(KJ2019A0475)

Abstract:

OBJECTIVE: To explore the possible mechanism of Tongdu Tiaoshen acupuncture combined with Xiaoxuming decoction (小续命汤, XXMD) in the treatment of Parkinson’s disease (PD).

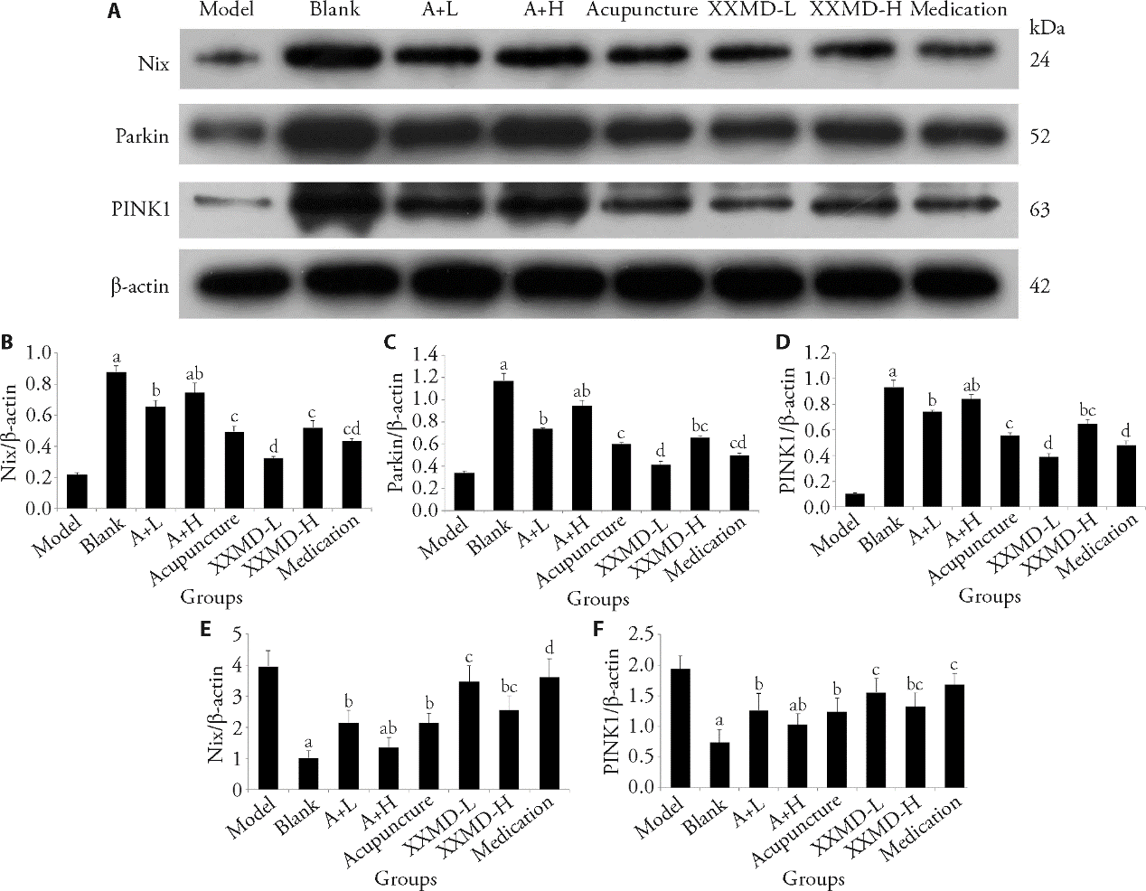
METHODS: C57BL/6 mice were randomly divided into eight groups (n = 12), including blank group, model group, medication group, acupuncture group, high-dose XXMD group (XXMD-H), low-dose XXMD group (XXMD-L), acupuncture combined with high-dose XXMD group (A+H), and acupuncture combined with low-dose XXMD group (A+L). After treatment for 6 weeks, dopamine (DA) neurons and the pathological changes of tyrosine hydroxylase (TH) positive cells were observed. The enzyme-linked immunosorbent assay (ELISA) was used to measure the content of DA and the level of interleukin-1β (IL-1β), interleukin-6 (IL-6), interleukin-10 (IL-10) and tumor necrosis factor alpha (TNF-α). The mRNA level of PINK1 and Parkin and the protein expression of Nix, PINK1 and Parkin in the substantia nigra were also detected.

RESULTS: Combination treatment effectively ameliorated the symptoms of PD. Compared with model group, combined treatment significantly up-regulated the protein expression of Nix, Parkin and PINK1 and the mRNA levels of PINK1 and Parkin in the substantia nigra (P<0.0001, P<0.001, P<0.01 or P<0.05). Furthermore, the levels of pro-inflammation cytokines were obviously decreased after combination therapy, while IL-10 content was increased remarkably (P<0.01).

CONCLUSION: Compared with each treatment alone, combination therapy improved the pathological damage of DA neurons of PD mice more effectively. The possible mechanism may be attributed to the up-regulated level of mitochondrial autophagy and improved mitochondrial function. These results provide fresh insight into the mechanism of co-treatment with Tongdu Tiaoshen acupuncture and XXMD for PD.

Key words: Parkinson disease, acupuncture, dopaminergic neurons, Tongdu Tiaoshen, Xiaoxuming decoction, mitochondrial autophagy

Cite this article

WU Haiyang, WANG Ying, HAN Wei, LI Huihui, JI Haisheng, LIU Xiuxiu. Protective effect of Tongdu Tiaoshen acupuncture combined with Xiaoxuming decoction (小续命汤) on dopaminergic neurons in Parkinson’s disease model[J]. Journal of Traditional Chinese Medicine, 2023, 43(3): 484-493.