Journal of Traditional Chinese Medicine ›› 2026, Vol. 46 ›› Issue (2): 382-391.DOI: 10.19852/j.cnki.jtcm.2026.02.010
• Original Articles • Previous Articles Next Articles
WANG Zhuo1, MAO Yinhui1, ZANG Yueyue1, HE Shuangyan1, SUN Juntao1, WEI Zhitao2, WANG Mingxing3(
), YANG Yong2(
)
Received:2025-05-09
Accepted:2026-01-12
Online:2026-04-15
Published:2026-04-04
Contact:
WANG Mingxing, Department of Experimental Center, the Affiliated Hospital of Changchun University of Chinese Medicine, Changchun 130021, China. 578658688@qq.com;
YANG Yong, Department of Urology, the Affiliated Hospital of Changchun University of Chinese Medicine, Changchun 130021, China. yongyang301@163.com; Telephone: +86-18946546330
Supported by:WANG Zhuo, MAO Yinhui, ZANG Yueyue, HE Shuangyan, SUN Juntao, WEI Zhitao, WANG Mingxing, YANG Yong. Mechanism of Shaofu Zhuyu decoction (少腹逐瘀汤) in improving diabetic mellitus erectile dysfunction via inhibition of ferroptosis based on network pharmacology and experimental validation[J]. Journal of Traditional Chinese Medicine, 2026, 46(2): 382-391.
Figure 1 Property and association analysis of high-frequency herbs for DMED A: distribution of properties of high-frequency herbs used in the treatment of DMED; B: distribution of flavors of high-frequency herbs used in the treatment of DMED; C: distribution of meridian tropisms of high-frequency herbs used in the treatment of DMED; D: classification of high-frequency herbal medicine categories; E: association rule network of high-frequency herbs; F: k-means clustering analysis of herbal components; G: regression simulation of herbal frequency and efficacy. DMED: diabetes mellitus induced erectile dysfunction; TCM: Traditional Chinese Medicine.
Figure 2 Functional enrichment analysis of the potential targets of SFZYD for the treatment of DMED A: GO analysis (including BP; CC; MF); B: KEGG analysis. SFZYD: Shaofu Zhuyu decoction; DMED: diabetes mellitus erectile dysfunction; GO: gene ontology; BP: biological process; CC: cellular component; MF: molecular function; KEGG: kyoto encyclopedia of genes and genomes.
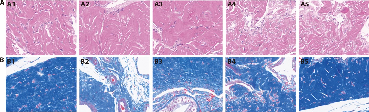
Figure 3 Effects of SFZYD on corpus cavernosum pathology in high-glucose induced CCECs A: hematoxylin-eosin (HE) staining of the corpus cavernosum in each group (× 200); B: Masson staining of the corpus cavernosum in each group (× 200); A1, B1: Control group CCECs; A2, B2: 50 mM high-glucose group; A3, B3: era 3 μM ferroptosis agonist group; A4, B4: HG + SFZYD group; A5, B5: HG + 2 μM Fer-1 ferroptosis inhibitor group. Control: normal control group (CCECs cultured in normal glucose medium without any intervention); HG: 50 mM high-glucose group (CCECs cultured in medium containing 50 mM high-glucose); Era: era 3 μM ferroptosis agonist group (CCECs cultured in 50 mM high-glucose medium + 3 μM Era ferroptosis agonist); HG + SFZYD: high-glucose + Shaofu Zhuyu decoction group (CCECs cultured in 50 mM high-glucose medium + SFZYD intervention); HG + Fer-1: high-glucose + Fer-1 group (CCECs cultured in 50 mM high-glucose medium + 2 μM Fer-1 ferroptosis inhibitor). HE: hematoxylin-eosin; SFZYD: Shaofu Zhuyu decoction; CCECs: corpus cavernosum endothelial cells; HG: high-glucose; Fer-1: ferrostatin-1; Era: erastin.
Figure 4 Effect of SFZYD on oxidative stress and ferroptosis-related markers A: SOD activity; B: GPX activity; C: CAT activity; D: MDA levels; E: Fe²⁺ concentration. Control: normal control group (without any intervention); ML385: Nrf2 inhibitor model group (treated with Nrf2 inhibitor ML385 alone); Era: erastin group (treated with erastin, a ferroptosis inducer); ML385 + SFZY: SFZYD treatment group (treated with Nrf2 inhibitor ML385 + 300 μg/mL SFZYD); ML385+Fer-1: ferroptosis inhibitor positive control group (treated with Nrf2 inhibitor ML385 + Fer-1, a ferroptosis inhibitor). The course of intervention was consistent among all groups. SFZYD: Shufu Zhuyu decoction; SOD: superoxide dismutase; GPx: glutathione peroxidase; CAT: catalase; MDA: malondialdehyde; Fer-1: ferrostatin-1; ANOVA: analysis of variance; Era: erastin; ML385: Nrf2 inhibitor.. Statistical significance was assessed using one-way ANOVA. All data were expressed as the mean ± standard deviation (n = 3). aP < 0.05, compared with the control group; bP < 0.05, compared with the model group (ML385).
| 1. | Zhu B, Zhang X, Niu L, Yang C, Jin X, Liu F. Nlrp 3 inhibitor combined with yimusake improves erectile dysfunction in rats with diabetes mellitus through the attenuation of pyroptosis. Heliyon 2024; 10: e38626. |
| 2. |
Li B, Hu P, Liu K, et al. Mirna-100 ameliorates diabetes mellitus-induced erectile dysfunction by modulating autophagy, anti-inflammatory, and antifibrotic effects. Andrology 2024; 12: 1280-93.
DOI URL |
| 3. |
Castela A, Costa C. Molecular mechanisms associated with diabetic endothelial-erectile dysfunction. Nat Rev Urol 2016; 13: 266-74.
DOI PMID |
| 4. |
Zhang XH, Filippi S, Morelli A, et al. Testosterone restores diabetes-induced erectile dysfunction and sildenafil responsiveness in two distinct animal models of chemical diabetes. J Sex Med 2006; 3: 253-64.
DOI URL |
| 5. |
Chen YL, Ouyang L, Meng LL, et al. Electroacupuncture ameliorates blood-brain barrier disruption after ischemic stroke through histone acetylation regulation at the matrix metalloproteinase 9 and tissue inhibitor of metalloproteinase 2 genes. J Tradit Chin Med 2024; 44: 734-44.
DOI |
| 6. |
Zuo S, Yu J, Pan H, Lu L. Novel insights on targeting ferroptosis in cancer therapy. Biomark Res 2020; 8: 50.
DOI PMID |
| 7. | Liang C, Zhang X, Yang M, Dong X. Recent progress in ferroptosis inducers for cancer therapy. Adv Mater 2019; 31: e1904197. |
| 8. |
Zou Y, Schreiber SL. Progress in understanding ferroptosis and challenges in its targeting for therapeutic benefit. Cell Chem Biol 2020; 27: 463-71.
DOI PMID |
| 9. | Zupo V, Costantini M, Aflalo ED, et al. Ferroptosis precedes apoptosis to facilitate specific death signalling by fatty acids. Proc Biol Sci 2023; 290: 20231327. |
| 10. | Sun LJ, Li CF, Liu JG, et al. Efficacy of Sailuotong on neurovascular unit in amyloid precursor protein/presenilin-1 transgenic mice with Alzheimer’s disease. J Tradit Chin Med 2024; 44: 289-302. |
| 11. |
Xu W, Sun T, Wang J, et al. Ferroptosis is involved in corpus cavernosum smooth muscle cells impairment in diabetes mellitus-induced erectile dysfunction. Andrology 2023; 11: 332-43.
DOI URL |
| 12. |
Liu P, Zhang Z, Cai Y, Li Z, Zhou Q, Chen Q. Ferroptosis: mechanisms and role in diabetes mellitus and its complications. Ageing Res Rev 2024; 94: 102201.
DOI URL |
| 13. |
Feng H, Liu Q, Deng Z, et al. Human umbilical cord mesenchymal stem cells ameliorate erectile dysfunction in rats with diabetes mellitus through the attenuation of ferroptosis. Stem Cell Res Ther 2022; 13: 450.
DOI PMID |
| 14. |
Yang R, Liu C, Li Q, et al. Artificial intelligence based identification of the functional role of hirudin in diabetic erectile dysfunction treatment. Pharmacol Res 2021; 163: 105244.
DOI URL |
| 15. |
Su S, Cui W, Duan JA, et al. Uhplc-ms simultaneous determination and pharmacokinetic study of three aromatic acids and one monoterpene in rat plasma after oral administration of Shaofu Zhuyu decoction. Am J Chin Med 2013; 41: 697-715.
DOI URL |
| 16. |
Liu L, Duan JA, Tang YP, et al. The protective effects of the active fraction of Shaofu Zhuyu decoction on hydrogen peroxide-induced oxidative injury in vascular smooth muscle cells. Molecules 2010; 15: 5066-78.
DOI PMID |
| 17. | Hong M, Jung J, Park HS, et al. Shaofu Zhuyu decoction ameliorates obesity-mediated hepatic steatosis and systemic inflammation by regulating metabolic pathways. PLoS One 2017; 12: e0178514. |
| 18. |
Zhang Y, Kang A, Deng H, et al. Simultaneous determination of sulfur compounds from the sulfur pathway in rat plasma by liquid chromatography tandem mass spectrometry: application to the study of the effect of Shaofu Zhuyu decoction. Anal Bioanal Chem 2018; 410: 3743-55.
DOI PMID |
| 19. |
Huang HM, Yang MJ, Li T, et al. Neferine inhibits the progression of diabetic nephropathy by modulating the mir-17-5p/nuclear factor e2-related factor 2 axis. J Tradit Chin Med 2024; 44: 44-53.
DOI |
| 20. | Xia XC, Xue SP, Song GY, et al.Anti-oxidative and immunological role of cyclocarya paliurus polysaccharide on the liver injury of diabetic rats. J Tradit Chin Med 2024; 44: 1146-52. |
| 21. | Zuo X, Zeng H, Yang X, He D, Wang B, Yuan J. Atg5-mediated lipophagy induces ferroptosis in corneal epithelial cells in dry eye disease. Invest Ophthalmol Vis Sci 2024; 65: 12. |
| 22. | Zou Z, Hu W, Kang F, et al. Interplay between lipid dysregulation and ferroptosis in chondrocytes and the targeted therapy effect of metformin on osteoarthritis. J Adv Res 2024; 57: 1-16. |
| 23. |
Zhu LH, Sun ZW, Guan YY, et al. Differences in vascular endothelial function and serum proteome between obese people with phlegm-dampness constitution and balanced constitution. J Tradit Chin Med 2024; 44: 188-96.
DOI |
| 24. |
Zou Y, Palte MJ, Deik AA, et al. A gpx4-dependent cancer cell state underlies the clear-cell morphology and confers sensitivity to ferroptosis. Nat Commun 2019; 10: 1617.
DOI PMID |
| 25. | Zou P, Lin R, Fang Z, et al. Implanted, wireless, self-powered photodynamic therapeutic tablet synergizes with ferroptosis inducer for effective cancer treatment. Adv Sci (Weinh) 2023; 10: e2302731. |
| 26. |
Zi Y, Wang X, Zi Y, et al. Cigarette smoke induces the ros accumulation and inos activation through deactivation of nrf-2/sirt3 axis to mediate the human bronchial epithelium ferroptosis. Free Radic Biol Med 2023; 200: 73-86.
DOI URL |
| 27. |
Zhu Z, Li J, Song Z, Li T, Li Z, Gong X. Tetramethylpyrazine attenuates renal tubular epithelial cell ferroptosis in contrast-induced nephropathy by inhibiting transferrin receptor and intracellular reactive oxygen species. Clin Sci (Lond) 2024; 138: 235-49.
DOI PMID |
| 28. | Sun CB, Xu GP, Jiang P, et al. Protective effect of Zhizi Huangqi Shanzha formula on aflatoxin poisoning in mice and its effect on intestinal flora. J Tradit Chin Med 2024; 44: 926-33. |
| 29. |
Zou J, Zheng Z, Ye W, et al. Targeting the smooth muscle cell KEAP1-Nrf2-STING axis with pterostilbene attenuates abdominal aortic aneurysm. Phytomedicine 2024; 130: 155696.
DOI URL |
| 30. |
Zou W, Chen C, Zhong Y, Zhang Z, Gu J, Wei Y. PI3K/Akt pathway mediates Nrf2/ARE activation in human L02 hepatocytes exposed to low-concentration HBCDs. Environ Sci Technol 2013; 47: 12434-40.
DOI URL |
| 31. | Zuo T, Fang T, Zhang J, et al. Ph-sensitive molecular-switch-containing polymer nanoparticle for breast cancer therapy with ferritinophagy-cascade ferroptosis and tumor immune activation. Adv Healthc Mater 2021; 10: e2100683. |
| 32. | Lü QK, Tao KX, Yao XY, et al. Melatonin MT1 receptors regulate the Sirt1/Nrf2/Ho-1/Gpx4 pathway to prevent α-synuclein-induced ferroptosis in Parkinson's disease. J Pineal Res 2024; 76: e12948. |
| 33. |
Zhao X, Huang H, Jiang X, et al. Supramolecular nanoparticle loaded with bilirubin enhances cartilage protection and alleviates osteoarthritis via modulating oxidative stress and inflammatory responses. Colloids Surf B Biointerfaces 2025; 245: 114243.
DOI URL |
| Viewed | ||||||
|
Full text |
|
|||||
|
Abstract |
|
|||||
Sponsored by China Association of Chinese Medicine
& China Academy of Chinese Medical Sciences
16 Nanxiaojie, Dongzhimen Nei, Beijing, China. 100700 Email: jtcmen@126.com
Copyright 2020 Journal of Traditional Chinese Medicine. All rights reserved.
